Thứ 6 ngày 20 tháng 09 năm 2024Lượt xem: 7142
Loạn sản xơ xương - Phân loại u xương của Tổ chức y tế Thế giới.
Phân loại u xương của Tổ chức Y tế Thế giới (WHO) là hệ thống phân loại được sử dụng rộng rãi nhất cho các rối loạn về xương (Phiên bản thứ 5 mới nhất – 2024).
Phân loại u xương, gồm:
- U sụn
- U xương
- U xơ
- U mạch
- U khổng lồ hủy xương
- U thần kinh
- U trung mô xương khác
- U tân tạo máu.
(Đường link tải tài liệu Phân loại u xương của WHO)
Loạn sản xơ xương (Fibrous dysplasia of bone)
Loạn sản xơ xương (Fibrous dysplasia of bone) theo phân loại của WHO là thuộc nhóm u trung mô xương khác, là bệnh lý xương mạn tính không di truyền, trong đó mô xương bình thường bị thay thế bởi mô xơ. Đặc trưng lâm sàng của bệnh là tổn thương xương tiến triển lành tính, biến dạng xương, đau xương, gãy xương. Đây là một bệnh xương hiếm gặp, chiếm khoảng 5% u xương lành tính, xuất hiện lẻ tẻ. Bệnh thường xảy ra ở tuổi thiếu niên, trong độ tuổi từ 3-15. Đa số những trường hợp có triệu chứng trước tuổi 30. Tỷ lệ nam giới và nữ giới mắc bệnh tương đương nhau.
1. Nguyên nhân, bệnh sinh
Nguyên nhân của bệnh chưa rõ. Một số thể loạn sản xơ xương là kết quả của đột biến ngẫu nhiên gen GNAS ở vị trí nhiễm sắc thể 20 của tạo cốt bào. Các tạo cốt bào ít biệt hoá này còn tăng sản xuất interleukin IL-6, làm tăng hoạt động của các tế bào huỷ xương, gây nên các tổn thương tiêu xương duới dạng các hốc xương trong mô xơ cũng như trong xương lành quanh đó. Thuật ngữ loạn sản xơ xương được Lichtenstein đặt tên vào năm 1938. Một hoặc nhiều vùng xương không trưởng thành bình thường và vẫn ở dạng bè xương non, khoáng hoá kém sắp xếp bất thường, rải rác trong mô sợi loạn sản. Khi xương phát triển, mô xơ mềm lan rộng, làm xương yếu đi, biến dạng và dễ gãy.
2. Chẩn đoán
2.1. Chẩn đoán xác định
* Lâm sàng
Các biểu hiện lâm sàng rất phong phú, đa dạng. Loạn sản xương có thể ở nhiều xương hay chỉ ở một xương, do vậy có các biểu hiện lâm sàng khác nhau.
Triệu chứng tại xương: đau xương, biến dạng xương, gãy xương bệnh lý, khó khăn khi đi lại, còi xương.
Tổn thương ngoài xương: trong một số ít các trường hợp, loạn sản xơ xương có thể kết hợp với bất thường nội tiết (dậy thì sớm, cường giáp, cường cận giáp, hội chứng Cushing, tổn thương tuyến yên), mảng sắc tố da.
* Cận lâm sàng
Xquang: Tổn thương nội tủy thân xương làm xương trong suốt, có hình ảnh kính mờ, với vỏ xương mỏng, biến dạng gấp khúc xương; Tổn thương trong suốt có bờ xơ hóa dày, gọi là dấu hiệu vỏ cây; Tổn thương dạng nang: thấu quang với viền phản ứng, không có bè xương, độ dày vỏ xương vẫn bình thường; Kiểu tổn thương Paget: bè xương đặc hơn bình thường; Biến dạng kiểu gậy chăn cừu: tổn thương tiến triển đầu trên xương đùi, gây cong đùi vào trong như gậy của người chăn cừu; Có thể thấy các tổn thương trong suốt, xơ hóa, dưới dạng đơn độc hay đa ổ, có hay không đối xứng trên xương sọ mặt. Đặc điểm Xquang của ác tính hóa là tăng nhanh kích thước của tổn thương hay sự thay đổi xương khoáng hóa bằng tổn thương tiêu xương.
Chụp cắt lớp vi tính: Đánh giá tiến triển của tổn thương xương, đặc biệt ở những vị trí phức tạp như cột sống, khung chậu, lồng ngực hay xương sọ mặt, cũng như lan rộng tổn thương ra phần mềm cạnh cột sống.
Chụp cộng hưởng từ hạt nhân: Đánh giá sự tiến triển của tổn thương, khả năng gãy xương bệnh lý, khả năng ác tính hóa của tổn thương xương, hay đánh giá tình trạng ép tủy khi cột sống bị tổn thương. MRI tiêm gadolinium cũng có thể đánh giá tình trạng tái phát sau mổ.
Xạ hình xương bằng T-99: Tăng hấp thụ phóng xạ tại vùng tổn thương tiến triển, giúp xác định cả các tổn thương không có triệu chứng. Tuy nhiên hình ảnh tổn thương không đặc hiệu.
Xét nghiệm mô bệnh học: Về mặt đại thể, u xương là một khối rắn chắc có màu trắng, hay sẫm màu. Về mặt vi thể, xương bệnh lý bao gồm hỗn hợp mô xơ chưa trưởng thành và các mảnh nhỏ xương bè chưa trưởng thành, có dạng các chữ cái Trung hoa.
Xét nghiệm máu: Tăng nồng độ men phosphatase kiềm. Xét nghiệm nước tiểu cho thấy tăng nồng độ hydroxyprolin. Tuy nhiên các bất thường này không đặc hiệu cho loạn sản xơ xương.
2.2. Chẩn đoán thể bệnh
Thể một ổ: Hầu hết bệnh nhân chỉ có tổn thương một xương (70% các trường hợp). Bệnh thường phát hiện ở người trưởng thành, trong độ tuổi 20 – 30. Tổn thương có thể không có triệu trứng, hoặc đau xương tại chỗ, hay dễ gãy xương. Các xương hay bị tổn thương nhất là xương sườn, xương sọ, mặt, đặc biệt là xương hàm, hành xương hay thân xương của đầu trên xương đùi hay xương chày. Ða số (95%) bệnh tự ổn định sau khi trưởng thành, tổn thương không lớn lên nữa.
Thể đa ổ (30% trường hợp): Bệnh nặng hơn với tổn thương nhiều nơi và lan rộng, gây nhiều triệu chứng và biến chứng. Bệnh thường phát hiện sớm dưới 10 tuổi. Thường là một phía của cơ thể bị mắc bệnh. Tuy nhiên khoảng 1/4 số bệnh nhân tổn thương dạng đa xương bị tổn thương hơn một nửa khung xương, đặc biệt ở chi dưới. Tổn thương xương mặt sọ gặp ở 1/2 số bệnh nhân có tổn thương xương nhiều nơi. Khi tổn thương xương sọ mặt bệnh nhân có thể có các triệu chứng chèn ép thần kinh mạch máu như đau đầu, ù tai, bất thường thần kinh sọ não, thậm chí chảy máu sọ não tự phát. Loạn sản xương thái dương có thể giảm thính lực và bịt tắc hốc tai ngoài.
Thể đa ổ có thể kết hợp dậy thì sớm, loạn sản xơ xương và đám da màu cà phê sữa, gọi là hội chứng Albright hay u nhày trong cơ vân (hội chứng Mazabraud).
* Về mặt tiên lượng: Thể một ổ có tiên lượng tốt. Tổn thương đa ổ có xu hướng tiến triển nặng lên, đôi khi có thể bị ác tính hóa thành sarcom xương hay sarcom sợi.
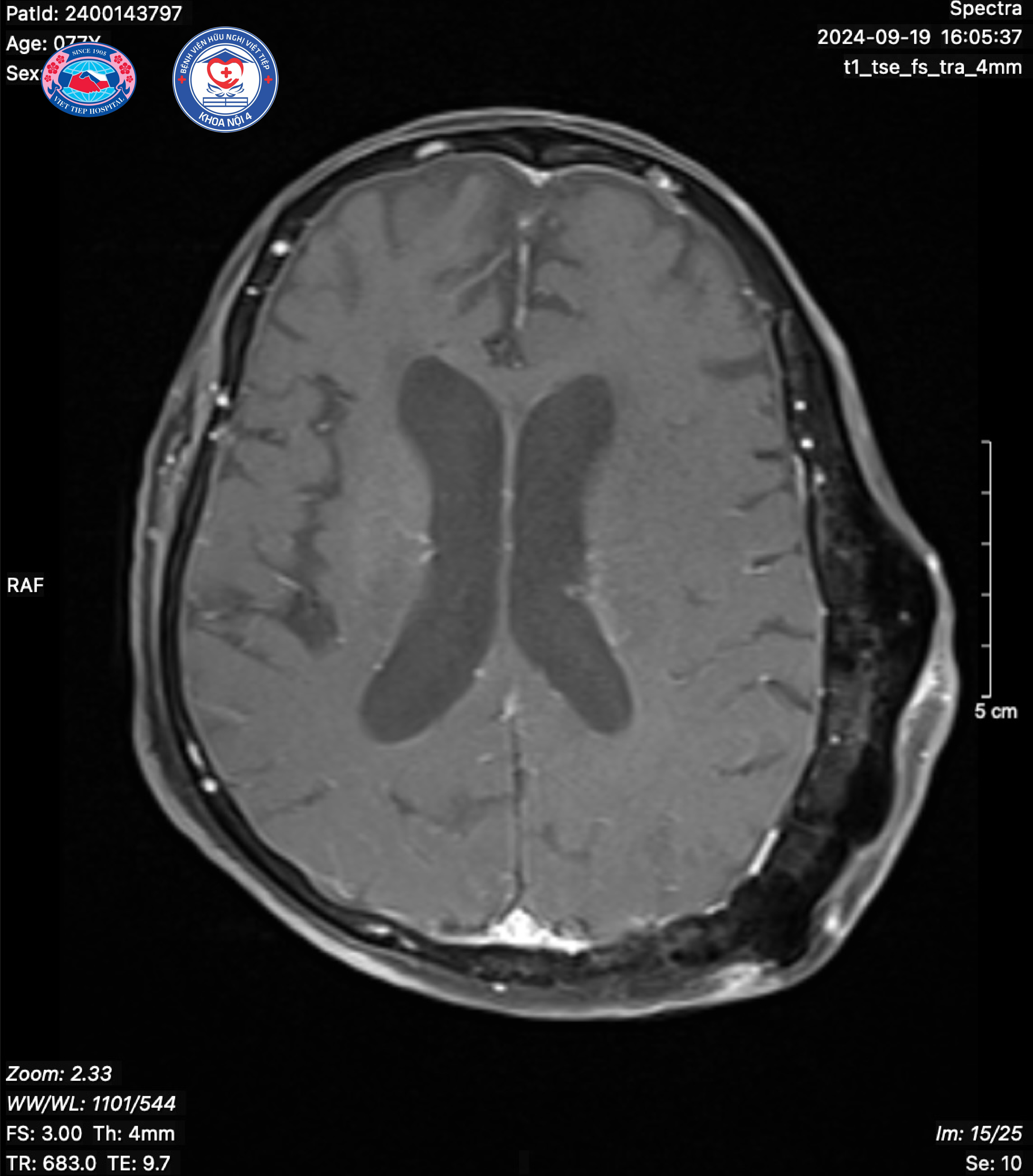
(Hình ảnh Loạn sản xơ xương sọ não ở người bệnh 77 tuổi)
2.3. Chẩn đoán phân biệt
Cường cận giáp
Bệnh Paget
U xơ không cốt hóa
U tế bào khổng lồ
U nguyên bào xương
U xơ thần kinh.
3. Điều trị
3.1 Nguyên tắc chung
Chưa có điều trị đặc hiệu chữa khỏi bệnh. Các bệnh nhân không có triệu chứng không cần phải điều trị, chỉ cần theo dõi. Hầu như không có điều trị gì đối với các tổn thương da hoặc tình trạng dậy thì sớm. Việc điều trị thường nhằm giải quyết các tổn thương xương và tùy theo thể bệnh một hoặc nhiều xương. Chống chỉ định điều trị bằng tia xạ vì có thể chuyển dạng thành sarcom xương. Hóa trị không có kết quả.
Điều trị bao gồm các biện pháp điều trị bảo tồn và ngoại khoa, tuỳ theo vị trí và mức độ tổn thương xương. Bệnh nhân cần được phải theo dõi 6 tháng một lần khám lâm sàng, làm các xét nghiệm và Xquang để phát hiện các biến chứng của bệnh như chèn ép thần kinh thị giác.
3.2 Điều trị cụ thể
* Điều trị nội khoa
Giảm đau xương.
Tăng mật độ xương giúp làm giảm nguy cơ gãy xương.
Bổ sung calci và vitamin D.
* Điều trị ngoại khoa
Mục tiêu của điều trị ngoại khoa là dự phòng và điều trị các biến dạng xương nặng và gãy xương; khắc phục sự khác nhau về độ dài của chi dưới; giải phóng chèn ép thần kinh,…
Chỉ định điều trị ngoại khoa: điều trị bảo tồn thất bại; gãy xương di lệch, không liền; đau thường xuyên; biến dạng tiến triển; ung thư hóa; dự phòng tổn thương rộng có thể dẫn đến gãy xương.
Phẫu thuật tuỳ thuộc vào vị trí xương bị tổn thương, bao gồm nạo vét tổn thương, mổ kết hợp xương, ghép xương tự thân hay xương đồng loại, chỉnh hình và cố định bằng đóng đinh, nẹp vít. Tỷ lệ tái phát cao sau nạo vét và ghép xương, đặc biệt ở bệnh nhi. Cắt gọt và nạo vét xương không có chỉ định khi xương loạn sản tái phát.
4. Tiến triển và biến chứng
Gãy xương bệnh lý.
Ác tính hóa tổn thương loạn sản xơ xương có thể xảy ra tuy hiếm gặp, tỷ lệ từ 0,5-3%. Sự ác tính hóa thường xảy ra ở thể bệnh nhiều xương, thường xảy ra vào tuổi trưởng thành ở tổn thương đã tiến triển hơn 13 năm và tái hoạt động nhiều lần (hủy xương, đau, gãy xương...).
Biến chứng chèn ép thần kinh hay mạch máu của tổn thương xương là đau đầu, ù tai, bất thường thần kinh sọ não, giảm thính lực, hẹp ống tai ngoài, chảy máu sọ não tự phát khi tổn thương xương sọ mặt. Loạn sản xương thái dương có thể giảm thính lực và bịt tắc hốc tai ngoài, mất đối xứng mặt, lồi mắt. Gãy xương gặp với tỷ lệ cao, ở trên 85% bệnh nhân. Lùn xảy ra do cốt hóa sớm đầu xương.
5. Phòng bệnh
Bệnh nhân cần đeo nẹp để dự phòng gãy xương. Có chế độ sinh hoạt vận động hợp lý. Tránh mang vác, lao động nặng. Phòng tránh ngã. Cần tái khám định kỳ sau 6 tháng đến 1 năm, tùy theo tình trạng bệnh.
Tin xem nhiều nhất
-
-
Ngày 09/02/2018
ĐIỆN CƠ là gì ...
-
-
Ngày 13/02/2018
Điều trị Co thắt mi mắt (Blepharospasm)?
-
-
Ngày 01/03/2018
Điều trị co cứng cơ sau Đột quỵ não.
-
-
Ngày 05/10/2021
Chẩn đoán định khu tổn thương tủy sống.
-
-
Ngày 05/04/2020
Liệt dây thần kinh số VII.